
ホワイトニングWHITENING
ホワイトニングで白い歯に!
こんな方にホワイトニングをおすすめします
自宅で歯を白くしたい方
大事なイベントを控えている方
神経を抜いた歯を白くしたい方
笑顔の印象をよくしたい方
人と接する職業の方
タバコを吸う方
コーヒーやカレーなど、着色しやすい食品が好きな方
ホワイトニングとは

ホワイトニングとは、歯の表面に付着した色素を除去することで、歯を白くする治療法です。
歯のホワイトニングには、
【ホームホワイトニング】
【オフィスホワイトニング】
の2種類があります。
ホームホワイトニングは、歯科医院でオーダーメイドのマウスピースを作成し、ご自宅でホワイトニングを行う方法です。
オフィスホワイトニングは歯科医院で行う方法で、高濃度の薬剤を使用するため、効果が高く、短時間で白くすることができます。
歯の黄ばみの原因

歯の黄ばみの主な原因は、タバコやコーヒー、紅茶、赤ワインなどの飲み物や食べ物の色素成分の付着です。
また、年齢とともに歯のエナメル質が薄くなり、内部の象牙質が露出し、黄色く見えることもあります。
ホワイトニングのメリット

美しい笑顔を取り戻せる
ホワイトニングによって、歯の表面に付着した色素を取り除くことができます。
すると、白く輝く歯が現れ、美しい笑顔を取り戻すことができます。

自信を持てる
ホワイトニングによって歯を白くすることで、自分自身に自信を持つことができます。
歯の色が気になっていた人は、自然と笑顔を隠すことがなくなり、コミュニケーションもスムーズになるでしょう。

若々しく見える
年齢とともに歯が黄ばんで見えることがありますが、ホワイトニングによって歯を白くすることで、若々しく見えるようになります。

歯を傷つけない
歯のホワイトニングは、歯の表面の汚れを取り除くだけなので、歯を傷つける心配はありません。
ホワイトニングの安全性について
歯科医院で扱うホワイトニング剤の主な成分は、過酸化水素と過酸化尿素です。
※これらの成分は、歯の表面に付着した色素を分解するために使用されます。
歯科医院では効果的で安全性の高い薬剤を使用し、ご自宅では濃度の低いものを使用していただきます。
口内にダメージを与えることがないよう考慮しています。
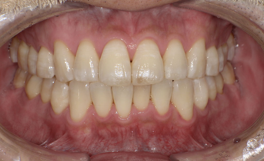
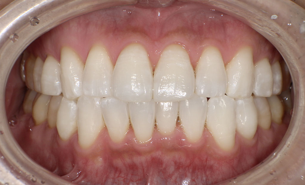
ホワイトニングの例

ビフォー

アフター
ホワイトニングの方法と種類
歯磨きやデンタルグッズを活用しても、どうしても磨き残しが出てしまいます。
それらの蓄積された歯垢をきれいにするために、定期検診に通い、お口を清潔に保ちましょう。

ホームホワイトニング
ホームホワイトニングは、場所を選ばず、ご自分のペースで施術できるため、忙しい方に人気があります。
当院でオーダーメイドのマウスピースを製作し、ご自宅にアイテム一式をお持ち帰りいただきます。
マウスピースに薬剤を入れ、毎日2時間ほど装着していただきます。
ホワイトニング中も、家事をしたりテレビを見たり、自由にお過ごしいただけます。
| 白くなるまでの目安(個人差あり) | 2~3週間 (1日2時間程度、毎日続けた場合) |
|---|---|
| 白さの持続期間の目安(個人差あり) | 6カ月~1年 (ケア方法により異なります) |

ホームホワイトニングの特徴
自宅で手軽に行えることができるため、時間や場所を選ばずホワイトニングが可能です。
オーダーメイドのマウスピースを使用するため、ご自分の歯に合ったフィット感で施術が行えます。
ご自分で薬剤を塗布するため、お好きなタイミングでホワイトニングを行うことができます。
副作用として、歯の過敏症が起こることがありますが、低濃度の薬剤を使用することでそのリスクを減らすことができます。
複数回施術することで徐々に歯の色が明るくなり、ご自分のペースでホワイトニングを行うことができます。

オフィスホワイトニング
歯科医院で施術を受けるホワイトニングです。
高濃度のホワイトニング剤を歯に塗布して歯を白くします。
ホームホワイトニングよりも施術時間が短く、即効性があり、一回の施術で効果を実感できる方もいます。
なるべく早く歯を白くしたい方におすすめです。
ただし、白さの持続性はホームホワイトニングに劣ります。
また、高濃度の薬剤を使用するため、人によっては過敏症や痛みが生じることがあります。
| 白くなるまでの目安(個人差あり) | 1~4回の施術 (ご希望の白さによって異なる) |
|---|---|
| 白さの持続期間の目安(個人差あり) | 3~6カ月 (ケア方法により異なる) |

オフィスホワイトニングの特徴
歯科医院で行う施術なので安心・安全です。
一回の施術で効果が得られるため、時間短縮が可能です。
高濃度のホワイトニング剤を使用するため、自宅でのホワイトニングよりも高い効果が期待できます。
施術中に歯や歯茎を保護するための措置を講じることで、歯の過敏症などの副作用リスクを減らすことができます。
複数回施術することで、より効果的に歯の色を明るくすることができます。
ご自分で薬剤を塗布する必要がありません。歯科医院におまかせでホワイトニングが可能です。

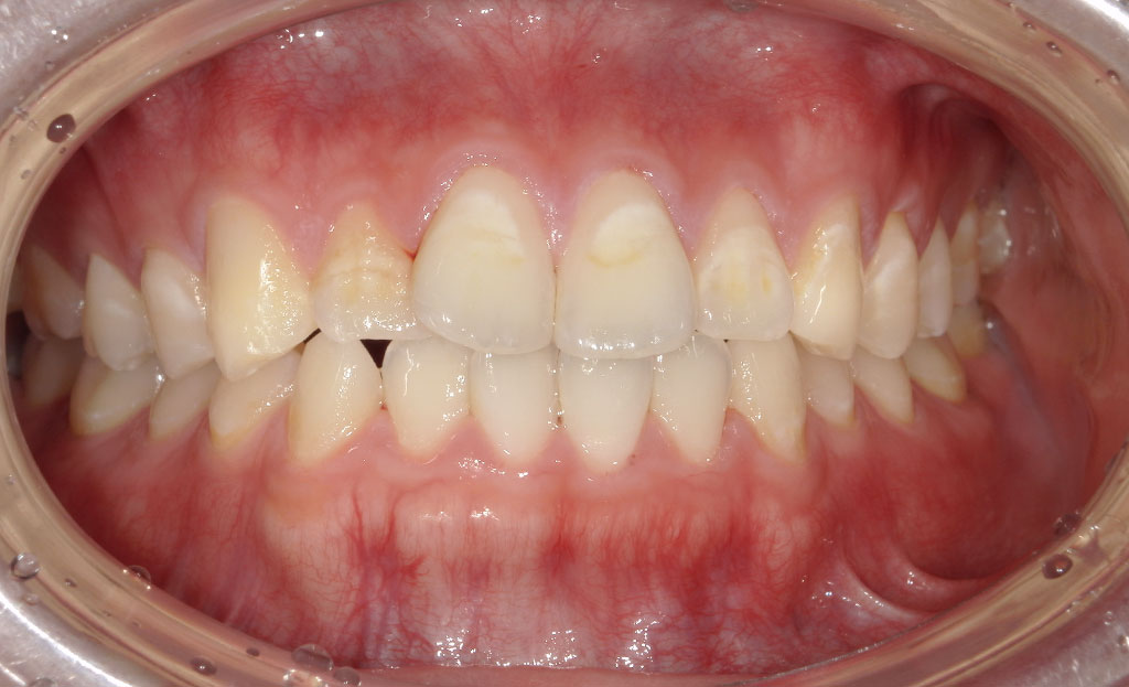
ホワイトスポットの例
Icon(アイコン)治療
歯の表面にある「エナメル質」に白い斑点が現れることを「ホワイトスポット」といいます。本来は透明なエナメル質が、磨りガラスのようになり、光が反射することで白く濁って見えるのです。
ホワイトスポットの原因には、初期むし歯、遺伝、栄養不足、乳幼児期の外傷などがあり、それぞれの原因に応じた治療を行うことで改善が可能です。
治療法として、「Icon(アイコン)」という液体のレジン樹脂を歯に塗布し、薬剤をエナメル質に浸透させることで、歯を削らずに白濁を目立たなくする方法があります。
| 白くなるまでの目安 | 多くの場合、1回の治療で改善 |
|---|---|
| 白さの持続期間の目安 | 治療後、長期間経過した後に後戻りする場合があります。 |

Icon(アイコン)治療の特徴
ホワイトスポットを一時的に隠す方法ではなく、根本からの改善をめざします。
歯を削らずに改善できるので、歯の寿命を縮めません。
治療時間が短く、ほとんどが1日で完了します。(症状によっては1日で終わらない場合があります。)
注意事項
ホワイトニングには、個人差があるため、同じ施術でも効果が異なることがあります。
治療中には、しみたり、痛みを感じたりすることがあるものの、一時的なものであり、心配はありません。
神経を抜いた歯の黒ずみ、テトラサイクリン系の副作用による変色、加齢や先天的な原因による黄ばみなど、症例によっては白くならない場合があります。
ホワイトニング後には、歯の色が再び戻ることがあるため、定期的なケアが必要です。
妊娠中や授乳中の方は、赤ちゃんに影響がある可能性があるため、卒乳後の施術をおすすめします。
むし歯や重度歯周病の方は、治療を完了してから施術を行うことが望ましいです。
入れ歯や差し歯を使用している方も、人工歯はホワイトニングでは白くならないため、施術は適用できません。
無カタラーゼ症の方は、過酸化水素を分解する酵素がないため、ホワイトニングの施術はできません。
エナメル質・象牙質形成不全の方は、薬剤の影響で歯の神経が痛む可能性があるため注意が必要です。
※詳細に関しましては歯科医師もしくは歯科衛生士よりご説明いたしますので、お気軽にご相談ください。
